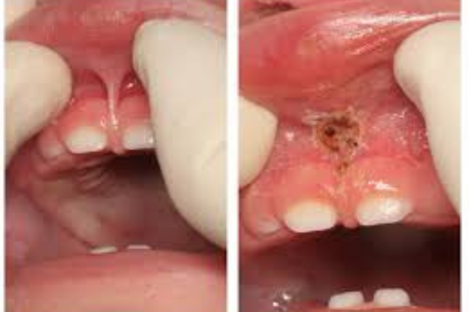
Root Canals
Routine Check-ups
Braces & Aligners
Dental Fillings
About Us
At Dr. Harsha’s Child Dental Clinic, we are dedicated to transforming lives through painless dentistry. With a passion for creating beautiful smiles, our clinic specializes in pediatric and preventive dentistry, ensuring a comfortable and stress-free experience for children and their parents.
Led by Dr. Harsha Assudani (MDS in Pediatric & Preventive Dentistry), our clinic focuses on providing the highest standard of care with a gentle touch. We believe that every child deserves a healthy and confident smile, and our team is committed to making every visit fun, educational, and pain-free.
Our Servies
We offer a range of child-friendly dental solutions designed to prevent and address dental issues early. Our goal is to ensure that every child grows up with a healthy, happy smile! 😊
Expert Pediatric Dental Care by Dr. Harsha Assudani
At Dr. Harsha’s Child Dental Clinic, we provide gentle and effective pediatric dental solutions in a comfortable, child-friendly environment. Our goal is to ensure that every little smile stays healthy, bright, and cavity-free! 😊🦷
✅ Painless Dentistry
✅ Preventive & Specialized Pediatric Care
✅ Child-Friendly Approach





Our Patients
sachi patel2025-02-11Trustindex verifies that the original source of the review is Google. The team at Dr. Harsha's child dental clinic provides exceptional dental care, offering services such as cavity treatments, root canal therapy (RCT), crowns, and braces. Their professionalism and dedication to patient comfort make them a top choice for anyone seeking quality dental services. prerna thakkkar2025-02-11Trustindex verifies that the original source of the review is Google. Visited the clinic for my 3.5 yr old who had severe pain .. Dr Harsha managed my kid like a breeze .. she performed a Rct and cap for her with utmost care !! It was such a relief coz I was really tensed about it !! Thank you to the entire team 👏🏻 Harpreet Kaur2025-01-08Trustindex verifies that the original source of the review is Google. Thoda sa Dard Hua par doctor maam bahut bahut acche the from Sargun Ajay Kumar2024-12-20Trustindex verifies that the original source of the review is Google. Doctor was comforting and put my daughter at ease. Explained the issue clearly, giving us a solution. Anita Sharma2024-12-15Trustindex verifies that the original source of the review is Google. Very nice doctor and staff. Everybody has a helpful nature and environment is also very peaceful and neat and clean. Shubham Sharma2024-12-15Trustindex verifies that the original source of the review is Google. It was an amazing experience.. very nice staff and doctor too.. she has a very caring and positive attitude which is helpful in treatment. Thank you for the treatment of my grand daughter. Rakhi Rakhi2024-12-07Trustindex verifies that the original source of the review is Google. Best clinic in tricity for Children. They have a very calming and playful atmosphere. Got my daughter's orthodontic treatment and I am so happy with that. Kanchan Sharma2024-12-05Trustindex verifies that the original source of the review is Google. I am really satisfied with positive dental treatment.. Jyoti Gurung2024-12-05Trustindex verifies that the original source of the review is Google. I'm Very happy with my treatment at Dr.Harsha's Child Dental Clinic sector -7 Panchkula.Got my root canal treatment, crown cap and teeth cleaning done here. Very satisfied with the treatment.Thnku Dr. Harsha nd staff's.











